おじまデンタルクリニックのインプラント治療の流れ
MENU
インスタグラム
エックス
HOME
当院について
コンセプト
ドクター紹介
交通アクセス・診療時間
施設基準について
日本橋院ブログ
理事長ブログ
治療項目
歯周病
精密根管治療
一般歯科
定期健診(メインテナンス)
インプラント
矯正歯科
審美歯科
親知らず
診療について
診療の流れ
診療に使用する器具について
医療費控除について
ホーム
おじまデンタルクリニックの特徴
診療案内
歯周病
根管治療
一般歯科
定期健診
(メインテナンス)
インプラント
矯正歯科
審美歯科
親知らず
アクセス
当院について
コンセプト
ドクター紹介
施設基準について
診療の流れ
診療に使用する器具について
医療費控除について
ブログ
日本橋院ブログ
理事長ブログ
当院のインプラント治療
インプラント治療の流れ
その他の治療との比較
オールオンフォー(All-ON-4)
サイナスリフト
静脈内鎮静法
インプラント治療のリスク・副作用について
インプラント治療の流れ
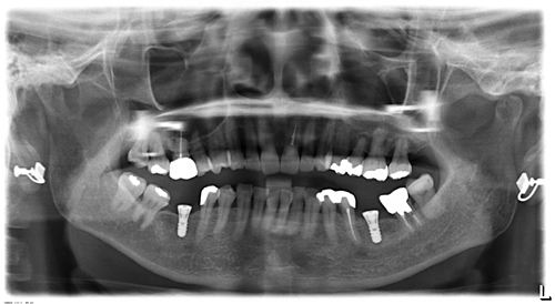
01
術前のレントゲン写真です
歯周病や虫歯など細菌感染による疾病は原則的に術前に治していますので、悪い歯を取った後のように腫れることは少ないです。
02
術前の口腔内写真です
下の奥歯が左右あわせて2本ありません。歯がない所にインプラントを埋入します。
03
オペ中1
オペ前に歯科医師のチェック、歯科衛生士によるクリーニングを受け、全身状況の把握をした後でオペに臨みます。
04
オペ中2
術前の計画と相違がないか確認しながら全身管理の下、慎重にオペを行います。
05
オペ後
オペ室から移動し、オペ後の注意事項の説明を行います。
06
術後の口腔内写真です
オペ直後の口腔内写真となります。この患者様は遠方からの来院のため、抜糸をしなくていいように吸収性の縫合糸での縫合となりました。
07
術後のレントゲン写真です
下の奥歯にインプラントが良い状態で入りました。
次回来院時に型取りをして綺麗でしっかり噛める歯が入ります。
当院では埋入したインプラントに関してはすべてのオペについて記録しております。
08
インプラント治療完了
白くきれいな歯が入りました。周りの歯も白くしました。残りの銀歯も順次、白いきれいな歯に入れなおしていきます。
インプラント治療の期間と目安の費用
治療期間
3カ月間から6カ月(症例により異なります)
治療回数
5回から8回(口腔内の状況により異なります)
インプラント(人工歯根)手術代 各滅菌、診査込み+上部構造
627,000円(税込み)