| サイナスリフト |
|
275,000円~(税込み)) |
|---|---|---|
|
220,000円~(税込み) |
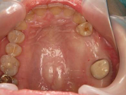
左上の奥歯の骨が少なくてそのままではインプラントを入れられなかったため、オペと同時にサイナスリフトをしました。
今ではしっかり噛めています。骨が極度までない場合でもほとんどがインプラントオペと同時にサイナスリフトが可能です。

歯周病と根の治療を終わらせた後でインプラントを埋入しました。今では何でも噛めます。


奥歯は骨が少なく、骨をつくり、インプラント治療をしました。赤く囲ったところが出来た骨です。

|
275,000円~(税込み) |
|---|---|
|
55,000円~(税込み) |